
IPS e CCG/ZGDV desenvolvem plataforma que usa IA para melhorar o diagnóstico do cancro
- Categorias Ciência, Parcerias, Projetos de Investigação, Saúde, Tecnologia
- Data 02/02/2026
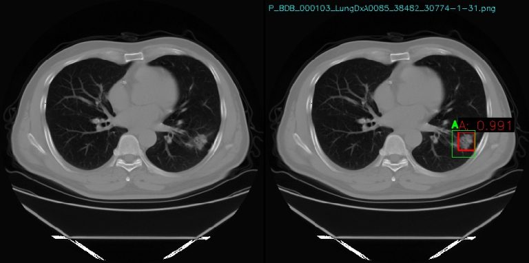
O Politécnico de Setúbal (IPS), através do seu polo de inovação tecnológica em parceria com o Instituto CCG/ZGDV, está a desenvolver uma nova plataforma de imagiologia médica de precisão, que promete facilitar a deteção e diagnóstico de doenças crónicas não transmissíveis, como o cancro da mama e do pulmão.
O projeto PRIMED, que está a ser desenvolvido no Laboratório de Processamento de Imagem Médica, a funcionar no IPS desde o passado mês de julho, recorre a inteligência artificial (IA) e a grandes volumes de dados clínicos e médicos (casos de pacientes), para apoiar os profissionais de saúde na tomada de decisões mais informadas, rápidas e seguras.
O projeto de investigação é financiado pelo Programa Lisboa 2030, no âmbito dos apoios à contratação de recursos humanos altamente qualificados para as áreas científica e tecnológica. Conta também com dois importantes parceiros da região, as Unidades Locais de Saúde da Arrábida e de Almada-Seixal, onde se prevê que sejam feitos testes em ambiente clínico real, permitindo avaliar o impacto concreto da tecnologia na prática médica.
O projeto parte da evidência científica de que a combinação de dados clínicos, exames de imagem e informação biológica pode melhorar significativamente o diagnóstico e o prognóstico do cancro. No entanto, esta compilação de informação enfrenta vários obstáculos, nomeadamente em matéria de proteção dos dados pessoais de saúde dos pacientes e exigências legais e éticas associadas.
Com uma abordagem inovadora, baseada na combinação de técnicas de visão por computador e IA, o projeto PRIMED permite assegurar a conformidade com o Regulamento Geral sobre a Proteção de Dados (RGPD) e com os princípios éticos fundamentais.
Ao juntar tecnologia avançada, colaboração entre instituições de saúde e uma forte preocupação ética, o PRIMED “contribuirá para uma nova geração de diagnósticos mais rápidos e mais precisos, colocando a inovação ao serviço da saúde pública e da qualidade de vida das pessoas”, refere Miguel Angel Guevara López, coordenador do polo CCG-IPS.
Além de diagnósticos mais rápidos e precisos, o projeto PRIMED prevê ainda ter impacto significativo na redução do sobrediagnóstico e tratamentos desnecessários, apoiando previsões mais rigorosas sobre a evolução da doença e a resposta aos tratamentos. “Um dos grandes objetivos do PRIMED é precisamente criar confiança: confiança dos profissionais de saúde nas ferramentas digitais e confiança dos cidadãos de que os seus dados estão protegidos e a ser usados para melhorar cuidados de saúde”, remata o investigador.
Funcionando como uma extensão do CCG/ZGDV no IPS, o polo recentemente inaugurado, e que é o primeiro em território nacional desta reputada unidade de investigação, visa impulsionar projetos em áreas como visão por computador, IA e ciência de dados, como é o caso do projeto PRIMED.
